Menu
CONTACT US

Follow us on

instagram instagram facebook facebook whatsapp whatsapp whatsapp whatsapp
  • Sky Dental Clinic, 151-153 Blendon Road, Bexley, DA5 1BT

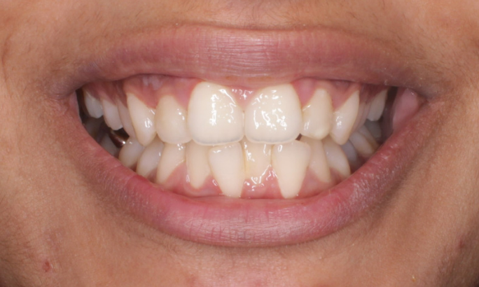
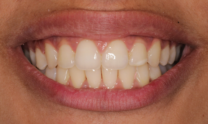
Case 13

Invisalign®

LEARN MORE

Case 12

Invisalign®

LEARN MORE

Case 11

Invisalign®

LEARN MORE

Case 10

Invisalign®

LEARN MORE

Case 9

Invisalign®

LEARN MORE

General Dentistry

We promise to put your smile at the heart of our dentistry.

LEARN MORE

Cosmetic Dentistry

Achieve the smile you desire with our professional cosmetic care.

LEARN MORE

Orthodontics

Choose Invisalign® for a comfortable teeth-straightening experience.

LEARN MORE

Dental Implants

We offer innovative dental implant solutions to improve a smile.

LEARN MORE

Facial Aesthetics

Discreet treatments to subtly improve the way you look.

LEARN MORE

We promise to put your smile at the heart of our dentistry.

LEARN MORE

Achieve the smile you desire with our professional cosmetic care.

LEARN MORE

Choose Invisalign® for a comfortable teeth-straightening experience.

LEARN MORE

We offer innovative dental implant solutions to improve a smile.

LEARN MORE

Discreet treatments to subtly improve the way you look.

LEARN MORE

REVIEWS

Lucia K

“My first time attending Sky Dental Clinic was a fantastic experience. David made me feel completely at ease and explained everything he was doing to reassure me. I would thoroughly recommend Sky Dental Clinic.”

star 1

Amal A

“I had such a lovely experience at Sky Dental Clinic and am really happy with my smile. Dr Kerthan was really helpful and answered all the questions I had about Invisalign - I felt very well-informed and supported during this process. He was kind, and I'm really happy with how everything went. This is a great practice; all of the other staff I have met have been super lovely!”

star 1

Gary K

“Relaxing atmosphere in a clean and modern studio. The staff are all polite and friendly and make you feel very relaxed. I couldn’t recommend these guys enough, and now I wouldn’t go anywhere else.”

star 1

Simon M

“Well, what can I say? This place is just brilliant. I sent my 74-year-old mum here, who has a huge fear of dentists. She was in pain with her teeth, and I took her in quickly and with respect. Even the nurse held her hand as she was alone; she told me how wonderful they were, so I thought I would share some feedback. Thanks, David, for looking after her.”

star 1

Simon W

“I get nervous going to dentists, but these guys put me at ease and explained to me carefully through each step of my treatment; the clinic is beautifully finished and even has TVs in the ceiling you can watch during treatments. I highly recommend this surgery. David and the crew are brilliant.”

star 1
VIEW ALL REVIEWS

CONTACT

GET IN TOUCH

instagram instagram

FOLLOW US ON INSTAGRAM

thumb1 instagram
thumb2 instagram
thumb3 instagram
thumb4 instagram
thumb5 instagram
thumb6 instagram
thumb7 instagram
thumb8 instagram

At Sky Dental, we take pride in offering our clients a calm and comforting experience at every visit.

Follow us on

instagram instagram facebook facebook whatsapp whatsapp whatsapp whatsapp
Google Rating
4.9
Google Rating